Даага буюу нэг настай адууны шүд
Сэтгүүлч
Даага насны адууны шүд нь бүхэлдээ дөнгөж ургаж гүйцсэн сүүн шүд байдаг ба ямар нэг өө сэвгүй жигдхэн цагаан шүд байдаг. Сүүн шүд нь цөгц бүрэн суусан байдаг ба цөгц нь элэгдээгүй байдаг учраас цөгц жигд, зуулт нь тэгш жигд байдаг. Цөгцний зураа нь үндсэн дөрвөн шүдэнд нарийн урт байх бөгөөд захын шүдэнд цөгц бүрэн суугаагүй цөгц дүүрээгүй зууван дугуй хэлбэрийн хонхорхой хэлбэртэй байдаг. Захын үүдэн шүдний зуулт өндөр хэсэгтээ хүрсэн бусад үрэгдэх хэсэг нь хүрээгүй буюу гурвалжин хэлбэрийн зай үүсгэсэн байдаг. Энэ нь хажуу талаас нь харвал захын үүдэн шүдний хавирах гадаргуу бүрэн нийлээгүй байдаг байна. Зөвхөн энэ шинж тэмдэгээр л ялгах бөгөөд шүдний бусад хэсгийн байдал үндсэндээ ижил төстэй байдаг.

Даага буюу нэг настай адууны үүдэн шүдийг эгц урддас нь харуулсан байдал
Даага насанд үүдэн шүд бүрэн ургасан байдаг ч сүүн шүд нь солигдож эхлээгүй сүүн шүдтэйгээ байдаг. Даагны шүд эгц урдаас нь харахад нэг түвшинд ургасан жигдхэн цагаан шүд байдаг. Дааганы шүд нь эгц урдаас нь харсан байдлаараа шүдлэн адуутай ялгарахгүй ижилхэн дүрс хэмжээтэй байдаг.

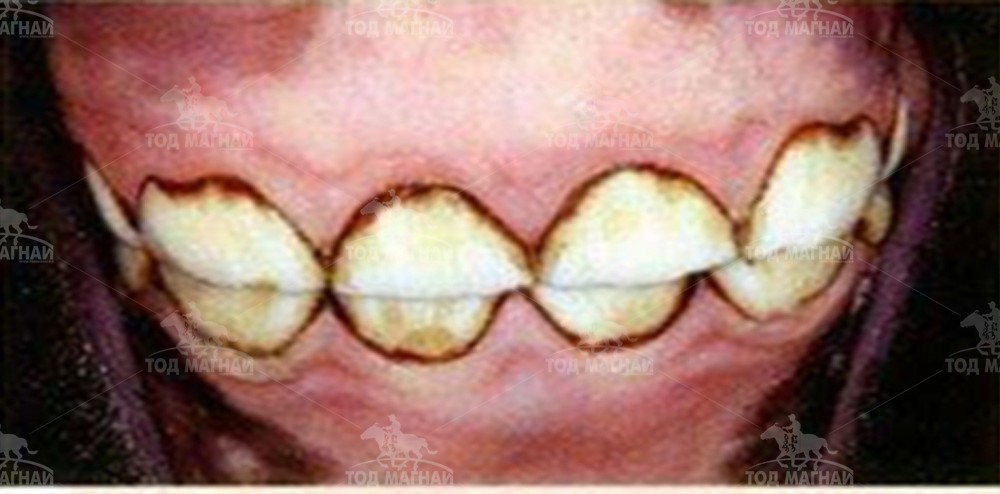
Дааганы шүдийг хажуу талаас нь харсан байдал
Даага шүдлэнгийн шүдийг ялгахын тулд сайтар харах хэрэгтэй бөгөөд дааганы шүд хажуу талаас нь харвал захын үүдэн шүд арай ургаж гүйцээгүй буюу шүдний зуулт нь хавирах гадаргууд бүрэн хүрээгүй байдаг. Зөвхөн энэ шинж тэмдэгээр л шүдлэн адуунаас ялгаж тодорхойлох боломжтой юм.

Дааганы захын үүдэн шүдний цөгц нь бүрэн түрж тэгшрээгүй халбаганы хонхорхой хэлбэртэй байдаг тул энийг “халбагших” хэлбэр гэж тодорхойлдог. Энэ “халбагших” хэлбэртэй шүд нь зарим үед шүдний дотор хэсэг нь сэтэрхий байх нь бий.
МУ-ын зөвлөх мал зүйч, ХААУ-ны доктор Д.Зоригтбаатар
1 Сэтгэгдэл
ХХЗХ-ны журмын дагуу зүй зохисгүй зарим үг, хэллэгийг хязгаарласан тул ТА сэтгэгдэл бичихдээ хууль зүйн болон ёс суртахууны хэм хэмжээг хүндэтгэнэ үү. Хэм хэмжээг зөрчсөн сэтгэгдэлийг админ устгах эрхтэй.
-
Пүрэв, 13:38 минут Эрдэмт уяачид, эрэмгий хүлгүүд: Тод манлай уяач О.… -
Пүрэв, 13:30 минут Архангай аймгийн 100 жилийн ой, хангайн бүсийн ура… -
12-р сарын 07 -нд Архангай аймгийн 100 жилийн ой, хангайн бүсийн ура… -
12-р сарын 03 -нд Эндүүрэгдээд эзнээ олжээ -
12-р сарын 01 -нд Архангай аймгийн 100 жилийн ой, хангайн бүсийн ура… -
11-р сарын 30 -нд Ярилцах болзол хангагдав -
11-р сарын 26 -нд Шөвгөр зээрдээ дурсах уу? -
11-р сарын 26 -нд Эрдэмт уяачид, эрэмгий хүлгүүд: МУ-ын Алдарт уяач … -
11-р сарын 26 -нд Архангай аймгийн 100 жилийн ой, хангайн бүсийн ура… -
11-р сарын 23 -нд Янзага зээрд -
2025 оны 11-р сарын 19 -нд Архангай аймгийн 100 жилийн ой, хангайн бүсийн ура… -
2025 оны 11-р сарын 19 -нд Элдэв-Очирын Ариунболд хэмээх идэрхэн уяачийн туха… -
2025 оны 11-р сарын 12 -нд Бар жилийн унаганууд бүгд айрагдав -
2025 оны 11-р сарын 12 -нд Эрдэмт уяачид, эрэмгий хүлгүүд: Тод манлай уяач Т.… -
2025 оны 11-р сарын 11 -нд Эр улсын нөхөрлөл Их хурдын айраг хүртээсэн нь -
2025 оны 11-р сарын 02 -нд Цадиггүй Цагаанаа -
2025 оны 10-р сарын 31 -нд Эрдэмт уяачид, эрэмгий хүлгүүд: МУ-ын Алдарт уяач … -
2025 оны 10-р сарын 31 -нд Мөрөөдөл биелүүлэх Мөнгөн -
2025 оны 10-р сарын 01 -нд Эрдэмт уяачид, эрэмгий хүлгүүд: Тод манлай уяач Г.… -
2025 оны 10-р сарын 01 -нд Уралдаанч Б.Мөнхбилэг: Манай найзууд дунд надаас ө… -
2025 оны 9-р сарын 24 -нд "Их хурд-10" уралдаанд эхний 10-т хурдалсан дааган… -
2025 оны 9-р сарын 20 -нд Д.Доржцэвээн: Монголчууд эртнээс Дамдин Сандүв бур… -
2025 оны 9-р сарын 16 -нд Эрдэмт уяачид, эрэмгий хүлгүүд: Тод манлай уяач С.… -
2025 оны 9-р сарын 16 -нд "Их хурд-10" уралдаанд эхний 10-т хурдалсан шүдлэн… -
2025 оны 9-р сарын 16 -нд Түмэн эх Бүлтгэр халзан -
2025 оны 9-р сарын 10 -нд Эрдэмт уяачид, эрэмгий хүлгүүд: Тод манлай уяач Д.… -
2025 оны 9-р сарын 10 -нд "Их хурд-10" уралдаанд эхний 10-т хурдалсан хязаал… -
2025 оны 9-р сарын 04 -нд МУ-ын Алдарт уяач И.Золбоо: Хонгор нутгаас төрийн … -
2025 оны 9-р сарын 03 -нд Эрдэмт уяачид, эрэмгий хүлгүүд: Тод манлай уяач Б.… -
2025 оны 9-р сарын 02 -нд "Их хурд-10" уралдаанд эхний 10-т хурдалсан соёоло…
-
2025 оны 8-р сарын 21 -нд "Их хурд-10" уралдаанд эхний 10-т хурдалсан их нас… -
2025 оны 8-р сарын 11 -нд ММСУХ-ны 30 жилийн ой, "Их хурд-10" уралдаанд эхни… -
2025 оны 8-р сарын 05 -нд Сүүт гүүний унагыг шүтсү... -
2025 оны 8-р сарын 04 -нд Зүүн бүсийн сонгомол бага ангилалд Ц.Мягмардоржийн…
-
2025 оны 8-р сарын 02 -нд Зүүн бүсийн сонгомол дээд насны ангилалд Х.Нурлаты… -
2025 оны 8-р сарын 02 -нд Зүүн бүсийн сонгомол дунд насны ангилалд Э.Бямбасү… -
2025 оны 7-р сарын 30 -нд Говийн бүсэд Д.Ариуннарангийн хээр хязаалан түрүүл… -
2025 оны 7-р сарын 30 -нд Говийн бүсэд М.Адъяабаатарын хар шүдлэн түрүүлжээ -
2025 оны 7-р сарын 30 -нд Зүүн бүсэд Э.Бат-Эрдэнийн Солонго зээрд түрүүлжээ -
2025 оны 7-р сарын 30 -нд Говийн бүсэд Б.Отгонсэлэнгийн хээр морь түрүүлжээ -
2025 оны 7-р сарын 30 -нд Баруун бүсийн сонгомол дээд насны ангилалд Т.Цэенд… -
2025 оны 7-р сарын 29 -нд Зүүн бүсэд М.Энхтайванбаатарын зээрд халзан даага … -
2025 оны 7-р сарын 29 -нд Зүүн бүсэд С.Хүдэрчулууны зээрд соёолон түрүүлжээ
-
2025 оны 7-р сарын 29 -нд Баруун бүсэд Б.Норовсамбуугийн халтар морь түрүүлл… -
2025 оны 7-р сарын 29 -нд Говийн бүсэд Б.Баярмагнайн бор соёолон түрүүллээ -
2025 оны 7-р сарын 29 -нд Баруун бүсэд О.Баатарын хонгор соёолон түрүүллээ -
2025 оны 7-р сарын 29 -нд Баруун бүсэд Б.Норовсамбуугийн Гоё хээр азарга түр… -
2025 оны 7-р сарын 29 -нд Говийн бүсэд Б.Тогтохын хүрэн халзан азарга түрүүл… -
2025 оны 7-р сарын 29 -нд Зүүн бүсэд Б.Саянсанаагийн халиун азарга түрүүллээ
-
2025 оны 7-р сарын 28 -нд Баруун бүсийн сонгомол бага насны ангилалд Л.Нямба…

66.181.161.74
Соёорлон хэдэн настай адуу вэ
Reply