Шүдлэн буюу хоёр настай адууны шүд
Сэтгүүлч Шүдлэн адууны шүд нь дааган насны адууны шүдтэй үндсэндээ ижил төстэй буюу онцын ялгаа байдгүй. Гэхдээ сайтар ажиглавал шүдлэн адууны шүд дааганыхыг бодвол арай өө сэв ихтэй дааганых шиг гөлгөр биш байдаг. Шүдний зуултыг сайтар ажиглавал үл ялиг голоороо сууж өгсөн байдаг хэдий ч энэ нь адуу бүрд давтагдаад байх нь ховор байдаг.
Сүүн шүд нилээд элэгдэж зарим шүд зууван хэлбэртэй болсон байна. Шүдний өнгөр нь дааган адууныхыг бодвол өнгөр сууж зарим хэсгээрээ шаралж, харласан байх хэдий ч энэ шинж тэмдэгийг гол ялгах үндсэн шинж гэж үзэх боломжгүй юм. Шүдлэнгийн шүд дааганыхыг бодвол хэмжээний хувьд арай том байдаг.
Шүдлэн адууны шүдийг эгц урдаас нь харсан байдал

Шүдэнд адууны шүдэнд шүдний элэгдэл явагдаж эхлээгүй байдаг тул шүдний зуулт хэвийн жигд байдаг ч зарим шүдлэн адуунд шүдний зуулт нь дундуураа зай, они гарч голын шүднүүд нь суулт өгч эхэлсэн байх нь байдаг. Манай малч ардын дунд дааганд нь дагь, шүдлэнд нь шүтэж, хязааланд нь хяна гэсэн хэлц үг сургааль байдаг бөгөөд энэ нь цаанаа нарийн учиртай зүйл байх нь. Шүдлэн наснаас эхэлж сүүн шүд солигдох үйл явц эхэлж энэ нь өвөл хаврын хахир цагт явагддаг учраас шүд ургаж эхэлэх эмзэг үе байдагтай холбоотойгоор ийнхүү хэлц үг гарсан байж болох талтай байна. Шүдлэн адууны үүдэн шүд голын үүдэн шүднээс солигдож адуу идэш тэжээлээ хазаж, тасдахад голын үүдэн шүд их үүрэгтэй байдаг байна.
Шүдлэн буюу хоёр настай адууны үүдэн шүдийг хажуу талаас нь харуулсан байдал

Шүдлэн адууны захын үүдэн шүдний зуулт нь бүхэлдээ гадаргуу нь хүрэлцсэн байдаг энэ шинж тэмдэг нь даага адууны шүднээс ялгарах гол шинж тэмдэг болдог өөрөөр хэлвэл захын үүдэн шүдгий зуулт хавирах гадаргуу нь бүрэн нийлсэн байдаг. Захын үүдэн шүдний зуулт нь дааганд гурвалжин үүсгэсэн зайтай байдаг бол шүдлэн адуу нь бүрэн ургаж гүйцсэн байдаг учраас зуулт нь ямар нэг зайгүй бүрэн нийлсэн байна.
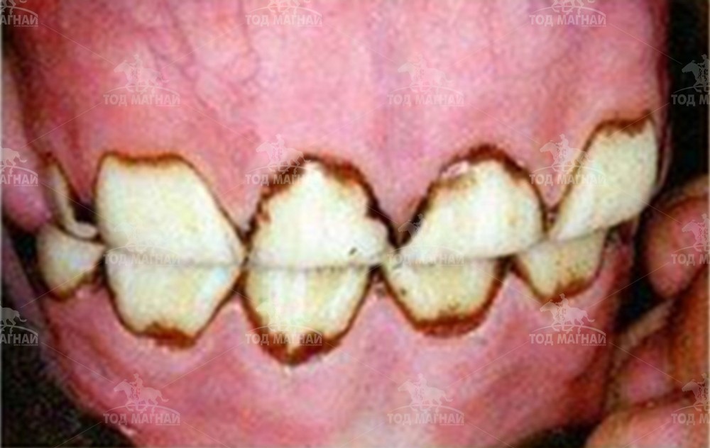
Шүдлэн буюу хоёр настай адууны цөгцийг харуулсан байдал

Шүдний цөгцний хувьд нарийн сайн ажиглавал морфо тогтоцын хувьд үл ялиг ялгаанууд байдаг. Гол ялгаа нь үүдэн шүдний захын шүд нь цөгц бүрэн ургаж дүүрэх янзтай болж ирэх ба цөгцний зураа нь бөөрөнхийдүү болж ирсэн байдаг. Дааганы шүдтэй харьцуулахад захын үүдэн шүднээс бусад голын үүдэн шүдний цөгцөнд хар зураа үүсэж тэр нь дааганы шүднээс илүү тод харагдна. Шүдлэн насны адууны захын үүдэн шүдний цөгцний ургалт даага насны адууг бодвол харьцангуй дүүрч ирсэн байдаг.
МУ-ын зөвлөх мал зүйч, ХААУ-ны доктор Д.Зоригтбаатар
0 Сэтгэгдэл
ХХЗХ-ны журмын дагуу зүй зохисгүй зарим үг, хэллэгийг хязгаарласан тул ТА сэтгэгдэл бичихдээ хууль зүйн болон ёс суртахууны хэм хэмжээг хүндэтгэнэ үү. Хэм хэмжээг зөрчсөн сэтгэгдэлийг админ устгах эрхтэй.
-
Пүрэв, 13:38 минут Эрдэмт уяачид, эрэмгий хүлгүүд: Тод манлай уяач О.… -
Пүрэв, 13:30 минут Архангай аймгийн 100 жилийн ой, хангайн бүсийн ура… -
12-р сарын 07 -нд Архангай аймгийн 100 жилийн ой, хангайн бүсийн ура… -
12-р сарын 03 -нд Эндүүрэгдээд эзнээ олжээ -
12-р сарын 01 -нд Архангай аймгийн 100 жилийн ой, хангайн бүсийн ура… -
11-р сарын 30 -нд Ярилцах болзол хангагдав -
11-р сарын 26 -нд Шөвгөр зээрдээ дурсах уу? -
11-р сарын 26 -нд Эрдэмт уяачид, эрэмгий хүлгүүд: МУ-ын Алдарт уяач … -
11-р сарын 26 -нд Архангай аймгийн 100 жилийн ой, хангайн бүсийн ура… -
11-р сарын 23 -нд Янзага зээрд -
2025 оны 11-р сарын 19 -нд Архангай аймгийн 100 жилийн ой, хангайн бүсийн ура… -
2025 оны 11-р сарын 19 -нд Элдэв-Очирын Ариунболд хэмээх идэрхэн уяачийн туха… -
2025 оны 11-р сарын 12 -нд Бар жилийн унаганууд бүгд айрагдав -
2025 оны 11-р сарын 12 -нд Эрдэмт уяачид, эрэмгий хүлгүүд: Тод манлай уяач Т.… -
2025 оны 11-р сарын 11 -нд Эр улсын нөхөрлөл Их хурдын айраг хүртээсэн нь -
2025 оны 11-р сарын 02 -нд Цадиггүй Цагаанаа -
2025 оны 10-р сарын 31 -нд Эрдэмт уяачид, эрэмгий хүлгүүд: МУ-ын Алдарт уяач … -
2025 оны 10-р сарын 31 -нд Мөрөөдөл биелүүлэх Мөнгөн -
2025 оны 10-р сарын 01 -нд Эрдэмт уяачид, эрэмгий хүлгүүд: Тод манлай уяач Г.… -
2025 оны 10-р сарын 01 -нд Уралдаанч Б.Мөнхбилэг: Манай найзууд дунд надаас ө… -
2025 оны 9-р сарын 24 -нд "Их хурд-10" уралдаанд эхний 10-т хурдалсан дааган… -
2025 оны 9-р сарын 20 -нд Д.Доржцэвээн: Монголчууд эртнээс Дамдин Сандүв бур… -
2025 оны 9-р сарын 16 -нд Эрдэмт уяачид, эрэмгий хүлгүүд: Тод манлай уяач С.… -
2025 оны 9-р сарын 16 -нд "Их хурд-10" уралдаанд эхний 10-т хурдалсан шүдлэн… -
2025 оны 9-р сарын 16 -нд Түмэн эх Бүлтгэр халзан -
2025 оны 9-р сарын 10 -нд Эрдэмт уяачид, эрэмгий хүлгүүд: Тод манлай уяач Д.… -
2025 оны 9-р сарын 10 -нд "Их хурд-10" уралдаанд эхний 10-т хурдалсан хязаал… -
2025 оны 9-р сарын 04 -нд МУ-ын Алдарт уяач И.Золбоо: Хонгор нутгаас төрийн … -
2025 оны 9-р сарын 03 -нд Эрдэмт уяачид, эрэмгий хүлгүүд: Тод манлай уяач Б.… -
2025 оны 9-р сарын 02 -нд "Их хурд-10" уралдаанд эхний 10-т хурдалсан соёоло…
-
2025 оны 8-р сарын 21 -нд "Их хурд-10" уралдаанд эхний 10-т хурдалсан их нас… -
2025 оны 8-р сарын 11 -нд ММСУХ-ны 30 жилийн ой, "Их хурд-10" уралдаанд эхни… -
2025 оны 8-р сарын 05 -нд Сүүт гүүний унагыг шүтсү... -
2025 оны 8-р сарын 04 -нд Зүүн бүсийн сонгомол бага ангилалд Ц.Мягмардоржийн…
-
2025 оны 8-р сарын 02 -нд Зүүн бүсийн сонгомол дээд насны ангилалд Х.Нурлаты… -
2025 оны 8-р сарын 02 -нд Зүүн бүсийн сонгомол дунд насны ангилалд Э.Бямбасү… -
2025 оны 7-р сарын 30 -нд Говийн бүсэд Д.Ариуннарангийн хээр хязаалан түрүүл… -
2025 оны 7-р сарын 30 -нд Говийн бүсэд М.Адъяабаатарын хар шүдлэн түрүүлжээ -
2025 оны 7-р сарын 30 -нд Зүүн бүсэд Э.Бат-Эрдэнийн Солонго зээрд түрүүлжээ -
2025 оны 7-р сарын 30 -нд Говийн бүсэд Б.Отгонсэлэнгийн хээр морь түрүүлжээ -
2025 оны 7-р сарын 30 -нд Баруун бүсийн сонгомол дээд насны ангилалд Т.Цэенд… -
2025 оны 7-р сарын 29 -нд Зүүн бүсэд М.Энхтайванбаатарын зээрд халзан даага … -
2025 оны 7-р сарын 29 -нд Зүүн бүсэд С.Хүдэрчулууны зээрд соёолон түрүүлжээ
-
2025 оны 7-р сарын 29 -нд Баруун бүсэд Б.Норовсамбуугийн халтар морь түрүүлл… -
2025 оны 7-р сарын 29 -нд Говийн бүсэд Б.Баярмагнайн бор соёолон түрүүллээ -
2025 оны 7-р сарын 29 -нд Баруун бүсэд О.Баатарын хонгор соёолон түрүүллээ -
2025 оны 7-р сарын 29 -нд Баруун бүсэд Б.Норовсамбуугийн Гоё хээр азарга түр… -
2025 оны 7-р сарын 29 -нд Говийн бүсэд Б.Тогтохын хүрэн халзан азарга түрүүл… -
2025 оны 7-р сарын 29 -нд Зүүн бүсэд Б.Саянсанаагийн халиун азарга түрүүллээ
-
2025 оны 7-р сарын 28 -нд Баруун бүсийн сонгомол бага насны ангилалд Л.Нямба…

Сэтгэгдэл бичигдээгүй байна